医学检验学院
|
收藏
|
设为首页
院系首页
学院概况
学院简介
机构设置
规章制度
党建工作
教育教学
教学工作
实验教学
技能大赛
双创专栏
双创课程
双创名师
双创典型
双创活动
科学研究
学院风采
优秀校友
就业工作
思政专栏
服务专区
相关链接
下载专区
联系我们
服务专区
相关链接
下载专区
联系我们
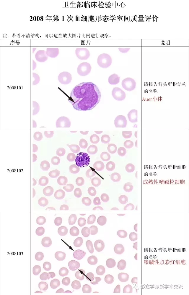
2007-2009年卫生部血细胞形态学检查室间质量评价及答案
发布时间:2019-06-23 浏览次数:
150
2007年血细胞形态学室间质量评价
2008年血细胞形态学室间质量评价
2009年血细胞形态学室间质量评价
来源:微信公众号“血液病综合诊断学术交流”